Loading...

CASOS CLINICOS

CT

CISURA ACCESORIA DE LA VENA ACIGOS

Antecedentes e información clínica:

Paciente femenina de 85 años de edad con diagnostico ecográfico de aterosclerosis del sistema arterial del miembro inferior izquierdo y trombosis arterial a nivel femoro-popliteo; además con antecedente de neumopatia viral por COVID-19, razón por la cual acude al centro de diagnóstico para realizar estudio angiotomográfico de miembros inferiores y de tórax respectivamente.

Rx

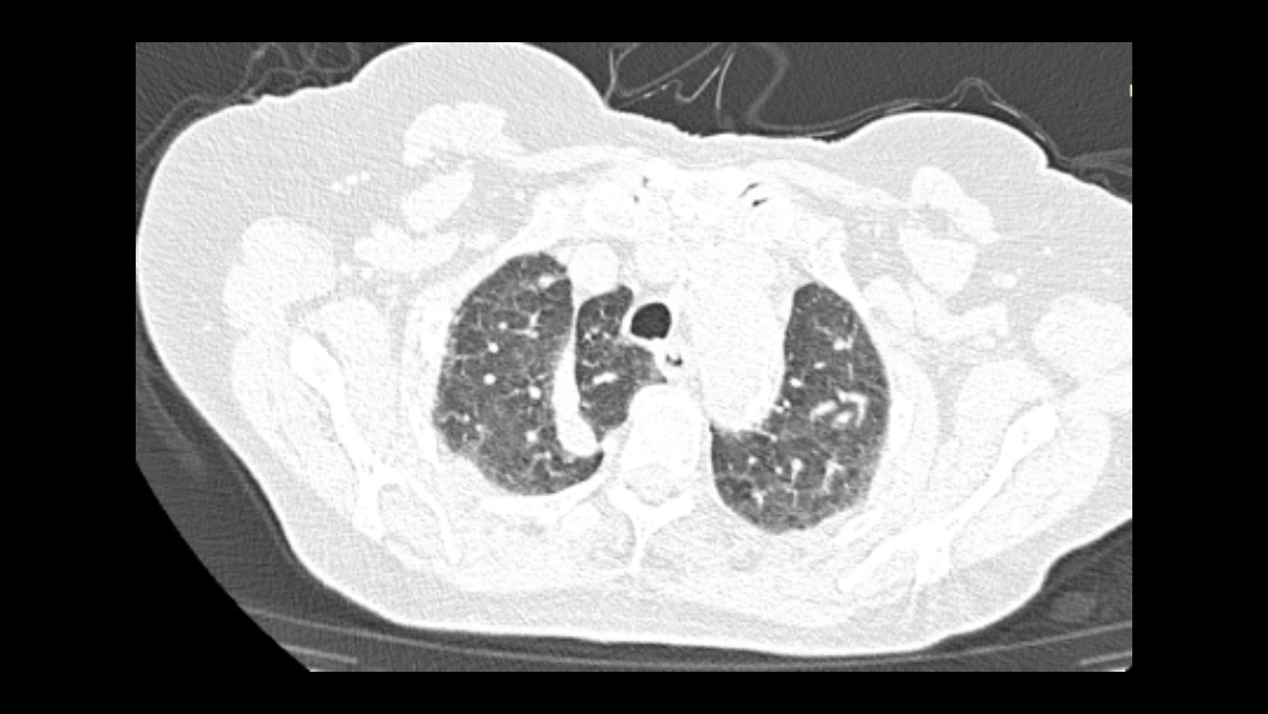
Hallazgos Radiológicos:

Se observan en el estudio tomográfico de tórax hallazgos radiológicos compatibles con neumopatia viral por COVID-19, cardiomegalia y además se evidencia; lóbulo y cisura accesoria en el LSD, en relación a cisura y lóbulo accesorio de la vena ácigos.

Rx

Revisión bibliográfica:

Las cisuras pulmonares corresponden a invaginaciones de la pleura visceral hacia el parénquima pulmonar y separan en forma completa o incompleta, los lóbulos. En la mayoría de los individuos, el pulmón derecho tiene tres lóbulos, el superior, el medio y el inferior, los que están a su vez delimitados por las cisuras mayor y menor. En el pulmón izquierdo existen sólo dos lóbulos, el inferior y el superior, los que están separados por una cisura interlobar o interlobular mayor única.

Como variante normal, pueden existir cisuras accesorias. Dentro de éstas, la más frecuente es la cisura accesoria inferior derecha, que puede estar presente en alrededor de 10 a 20% de los individuos.

La cisura accesoria para el lóbulo de la vena ácigos se presenta en 0,2 a 1,2% de los pacientes, durante el desarrollo embrionario la vena ácigos queda normalmente sobre el bronquio principal derecho. En esta variante anatómica ocasionalmente no ocurre así y el cayado de ácigos queda sobre el vértice pulmonar, de modo que, al crecer el pulmón, la vena ácigos arrastra un pliegue de la pleura formando un lóbulo accesorio en el pulmón derecho que está situado medialmente a esta fisura anormal.

Está compuesta por cuatro capas pleurales, dos viscerales y dos parietales y representa la invaginación de la pleura apical derecha por el trayecto de la vena ácigos (meso-ácigos), desde la región paravertebral hasta el ángulo tráqueo-bronquial derecho y de esta manera, delimita el lóbulo ácigos, que se sitúa medial al lóbulo superior y superior al hilio del pulmón derecho. Con mayor frecuencia recibe ramificación bronquial de las ramas anterior y apical del bronquio para el segmento apical del lóbulo superior derecho.

El lóbulo de la ácigos es una variación anatómica normal y se trata de un hallazgo radiológico sin repercusión clínica que podemos observar en la radiografía convencional de tórax y de mejor manera en el estudio tomografico.

Bibliografía:

https://www.scielo.cl/scielo.php?script=sci_arttext&pid=S0717-73482011000300007

Enviar Comentario