Loading...

CASOS CLINICOS

RX

NEUMOTORAX ESPONTANEO

Antecedentes e información clínica:

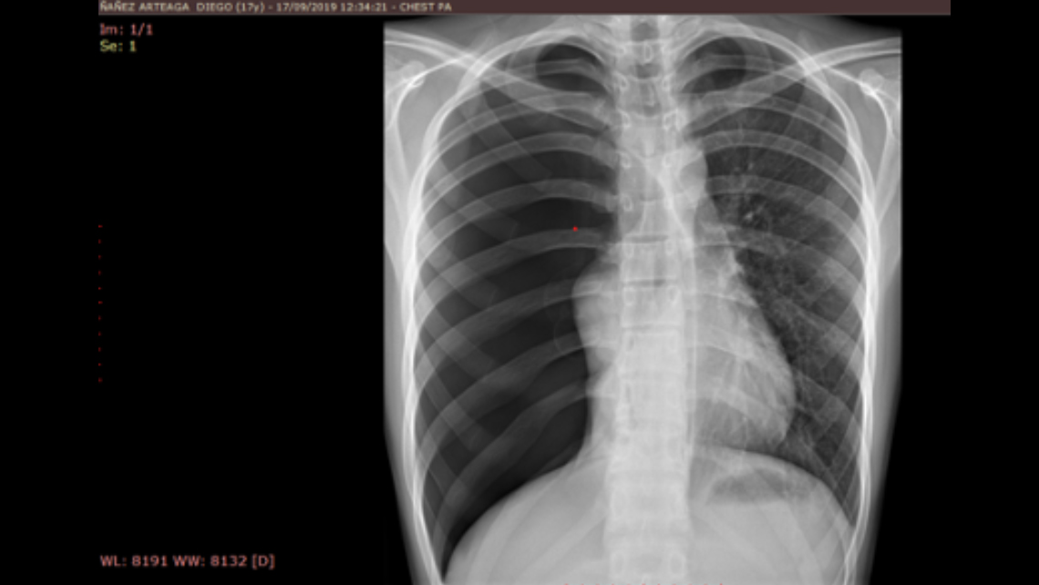
Se trata de paciente masculino de 17 años, quien refiere dolor torácico súbito y disnea, sin antecedentes traumático, sin antecedentes previos, se procede a realizar estudio radiológico de tórax.

Rx

Hallazgos Radiológicos:

Se evidencia todo el hemitorax derecho con incremento de la radiotransparencia, asimétrico con respecto al hemitorax izquierdo, observándose a nivel hiliar derecho áreas sugestiva de parénquima colapsado, además se observa leve desplazamiento del cardiomediastino a la izquierdo, el parénquima del hemitorax izquierdo es normal. DICHOS HALLAZGOS SON COMPATIBLES CON NEUMOTÓRAX DERECHO MASIVO ESPONTANEO. Se deriva para completar sus estudios de tomografía y evaluación por especialidad correspondiente.

Revisión bibliográfica:

Neumotórax es la presencia de gas en el espacio pleural, con el colapso pulmonar consiguiente. Un neumotórax espontáneo (NE) es el que aparece sin un antecedente de traumatismo torácico y se puede clasificar en secundario (NES) y primario (NEP), según se produzca en un individuo con o sin una enfermedad pulmonar subyacente, respectivamente. No obstante, esta clasificación tradicional del NE puede ser confusa si tenemos en cuenta que en más del 80% de los pacientes con NEP se encuentran, bien por tomografía computarizada (TC) o durante la cirugía, pequeñas bullas (1-2 cm de diámetro) localizadas en los lóbulos superiores, que podrían tener un papel causal.

El NEP se desarrolla característicamente en varones jóvenes (rara vez superan los 40 años) con hábito leptosómico. El incremento rápido en las dimensiones verticales del tórax puede afectar la presión intratorácica del ápex pulmonar y favorecer la formación de quistes subpleurales. Más del 90% de estos sujetos son fumadores, ya que el riesgo de NEP se relaciona con el grado de tabaquismo. Probablemente la degradación de las fibras elásticas del pulmón y la bronquiolitis que provoca el tabaco estén en la génesis de las bullas subpleurales que se detectan en la mayor parte de los casos.

El 90% de los NE aparecen en reposo y sólo el 10% coinciden con un esfuerzo físico. Los pacientes con NE presentan dolor pleurítico súbito, disnea y tos no productiva.

Bibliografía:

https://www.elsevier.es/es-revista-medicina-integral-63-articulo-neumotorax-espontaneo

Enviar Comentario